8-800-101-75-69
Аппарат КТ
Philips CT
Big Bore RT
Аппарат КТ для планирования лучевой терапии
цена по запросу
Система Philips CT Big Bore RT представляет собой КТ-симулятор, позволяющий повысить точность планирования и обеспечить пациентам эффективность дальнейшей терапии, а специалистам — уверенность в результате и оптимизацию рабочего процесса.
Особенности аппарата КТ Philips CT Big Bore RT

Концентрация на самом важном в планировании лучевой терапии
Big Bore предоставляет усовершенствованные инструменты для обеспечения точной разметки пациента и эффективного процесса КТ-симуляции. Расширенное поле обзора обеспечивает стабильность показателей плотности по всей области сканирования. Величина вертикального отклонения деки стола под весом пациента составляет всего 2 мм, что минимизирует риск облучения здоровой ткани и отвечает международному стандарту качества симуляции на КТ AAPM TG 66 (Американская ассоциация медицинских физиков)

Специализированный модуль КТ-симуляции для маркировки пациента с консоли
Специализированный программный модуль для маркировки пациента с консоли способствует увеличению производительности. Приложение позволяет работать с локализацией изоцентра, созданием проекций максимальной и минимальной интенсивности, оконтуриванием целевых объемов и критических структур, размещением пучка и настройкой параметров системы для стандартных и синхронизированных по дыханию исследований.

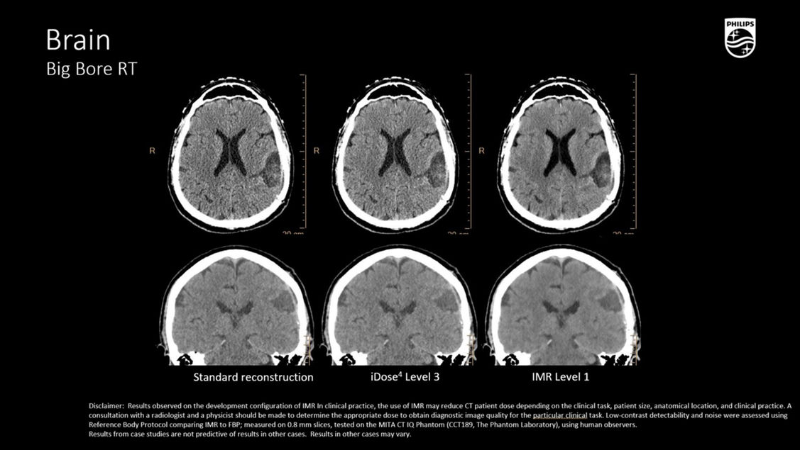
Абсолютная клиническая достоверность
Технология Philips IMR позволяет одновременно снизить лучевую нагрузку на 60—80%, улучшить низкоконтрастное разрешение на 43—80% и снизить шум на 70—83%*. IMR дает уверенность в правильности показателей благодаря улучшенной визуализации мелких деталей

Максимальная точность КТ-симуляции
Апертура гентри 85 см в точности соответствует среднему диаметру орбитального движения большинства линейных ускорителей, что обеспечивает точность планирования и идентичность положения облучения.

Оценка движения органов-мишеней
Программно-аппаратный пакет для синхронизации с дыхательными циклами пациента, позволяющий оценивать движение органов-мишеней и компенсировать неравномерности дыхания при проведении синхронизированной терапии. Проспективный и ретроспективный режимы сканирования с группировкой по фазе и сортировкой по амплитуде для облегчения анализа двигательной активности органов.

Удобство проведения интервенционных исследований
Пульт управления интервенционными исследованиями обеспечивает пользователю эффективный рабочий процесс и возможность сохранять неограниченное количество положений стола с последующим переходом в них. Благодаря точным дискретным перемещениям стола, доступным по одному нажатию кнопки и обеспечивающим быструю и четкую визуализацию иглы в ходе инвазивных процедур, специалист может сконцентрироваться на самом важном — пациенте.























