8-800-101-75-69
Аппарат МРТ
Fujifilm (Hitachi) ECHELON Smart
Компактность и экономичность — без ущерба для качества и скорости диагностики.
1.5 Тесла
цена по запросу
Fujifilm ECHELON Smart — это современный аппарат МРТ 1,5 Тесла, разработанный для достижения баланса высокого качества диагностических изображений, скорости и комфорта пациента. Мощные градиенты (≈ 33 мТл/м) с высокой скоростью нарастания (~130 Тл/м/с) и 16-канальный приёмный тракт обеспечивают получение изображений высокого разрешения при сокращённом времени сканирования. Технологии SmartSPEED и SmartECO повышают эффективность работы аппарата МРТ, снижая энергопотребление и эксплуатационные затраты, а компактная архитектура томографа обеспечивает гибкость установки в различных клинических условиях.
Особенности аппарата МРТ Fujifilm ECHELON Smart

Снижение акустического шума SmartCOMFORT
Технология SmartCOMFORT направлена на значительное снижение акустического шума во время сканирования без компромисса в скорости или качестве изображения. Инженеры Fujifilm реализовали оптимизацию импульсов и профилей градиентных переходов, что уменьшает вибрацию внутри магнитной системы. В результате уровень звукового давления во время исследования снижается до комфортных значений, обеспечивая пациенту спокойную атмосферу и минимизируя стресс, особенно при длительных сканах головного мозга или позвоночника. В отличие от традиционных режимов «тихих» исследований, SmartCOMFORT сохраняет стандартную производительность и не требует увеличения времени последовательностей, что делает технологию особенно ценной для загруженных кабинетов МРТ.

Автоматический контроль качества SmartQUALITY
Система SmartQUALITY отвечает за автоматический контроль стабильности сигнала, точности калибровки и корректности данных реконструкции, обеспечивая неизменно высокое качество изображений во всех клинических сценариях. Технология основана на встроенных процедурах самодиагностики и коррекции, которые выполняют постоянный мониторинг параметров магнитного поля, чувствительности катушек и фазовой согласованности каналов. В процессе сканирования SmartQUALITY анализирует калибровочные данные, устраняя системные дрейфы и обеспечивая однородность сигнала по всему полю обзора. Это особенно важно при количественных методах, таких как перфузионные и спектроскопические исследования, где даже незначительные флуктуации могут повлиять на интерпретацию результатов.

Интеллектуальное ускорение реконструкции IP-RAPID
Технология IP-RAPID представляет собой интеллектуальный алгоритм ускоренной реконструкции изображений, сочетающий методы параллельного сбора данных и сжатого преобразования (compressed sensing). За счёт оптимизированной выборки k-пространства и последующей итеративной реконструкции система восстанавливает изображения высокой чёткости при сокращении времени МРТ сканирования до 50 % без потери диагностической информации. IP-RAPID в аппарате МРТ Fujifilm ECHELON Smart позволяет выполнять динамические, ангиографические и высокоразрешающие исследования с высокой стабильностью сигнала и воспроизводимостью, обеспечивая повышение пропускной способности кабинета.

На 17 % меньше эксплуатационных расходов
В основе аппарата МРТ Fujifilm ECHELON Smart лежит усовершенствованная криогенная архитектура с минимальным расходом жидкого гелия, герметичным замкнутым контуром охлаждения и оптимизированным питанием сверхпроводящего магнита. В сочетании с интеллектуальным режимом энергосбережения SmartECO, автоматически регулирующим потребление мощности в периоды простоя, это обеспечивает до 17 % снижения энергопотребления по сравнению с предыдущими томографами 1,5 Тесла. Кроме того, компактный магнит и усовершенствованная система вентиляции сокращают тепловыделение и нагрузку на климатическое оборудование, что дополнительно уменьшает эксплуатационные расходы

Подавление артефактов движения RADAR
Технология RADAR (Rotating Acquisition Data for Reduction of Motion Artifacts) предназначена для устранения артефактов, вызванных непроизвольными движениями пациента — дыханием, пульсацией сосудов или микродвижениями головы. В отличие от классического линейного заполнения k-пространства, RADAR использует радиальную стратегию сбора данных, при которой проекции формируются под различными углами относительно центра k-пространства. Такой подход повышает устойчивость реконструкции к движению и позволяет получать диагностически ценные изображения даже при ограниченной неподвижности пациента.

Ускоренная визуализация SmartSPEED
Технология SmartSPEED представляет собой комплексное решение для ускорения МРТ-визуализации, объединяющее методы параллельного сбора данных, оптимизированные последовательности и усовершенствованную реконструкцию изображений. ECHELON Smart использует интеллектуальное распределение данных между каналами приёмных катушек и многомерные алгоритмы реконструкции, что позволяет сокращать время сканирования без потери пространственного разрешения и отношения сигнал/шум. В отличие от традиционных методов параллельной визуализации, SmartSPEED динамически подбирает коэффициенты ускорения и корректирует матрицу выборки k-пространства в зависимости от анатомической области и протокола исследования.
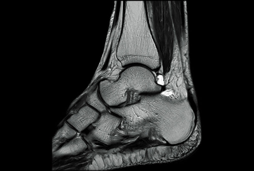
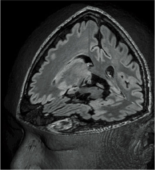
Клинические изображения аппарата МРТ Fujifilm ECHELON Smart
Смотрят также
Описание аппарата МРТ Fujifilm (Hitachi) Fujifilm ECHELON Smart
Fujifilm ECHELON Smart — это современная система магнитно-резонансной томографии 1.5 Тесла, спроектированная для достижения оптимального баланса между качеством изображения, скоростью исследования, комфортом пациента и экономичностью эксплуатации. Аппарат МРТ объединяет в себе инженерные традиции японской школы точного машиностроения и инновационные алгоритмы обработки изображений Fujifilm, создавая мощную платформу для широкого спектра клинических задач — от нейровизуализации и сосудистых исследований до МРТ брюшной полости, суставов и позвоночника. Томограф построен на базе высокопроизводительных подсистем SmartENGINE, SmartSPEED, SmartQUALITY и SmartCOMFORT, обеспечивающих стабильную работу, высокую чувствительность и превосходное соотношение сигнал/шум при низких эксплуатационных затратах.
Ключевые особенности Fujifilm ECHELON Smart
1. SmartCOMFORT — бесшумная МР-визуализация: Технология SmartCOMFORT снижает уровень акустического шума до 94 % без увеличения времени сканирования и потери контраста. Оптимизация формы градиентных импульсов и профилей магнитного поля позволяет минимизировать вибрации, не влияя на стабильность сигнала. Это особенно важно при исследовании головы, позвоночника и детей, обеспечивая пациенту комфорт и снижая стресс.
2. SmartQUALITY — интеллектуальное обеспечение качества: Модуль SmartQUALITY выполняет автоматическую калибровку, контроль стабильности магнитного поля и фазы РЧ-сигнала, поддерживая постоянное качество изображения во всех клинических сценариях. Используется технология SmartENGINE — высокоскоростной АЦП с прямым цифровым приёмом сигнала, что увеличивает отношение сигнал/шум до 8 % при работе с многоканальными катушками.
3. SmartSPEED — ускорение визуализации: SmartSPEED оптимизирует процесс сбора и реконструкции данных, сокращая общее время исследования без потери диагностической точности. Встроенные алгоритмы автоматически подбирают коэффициенты ускорения, обеспечивая высокое качество изображений даже при сложных последовательностях, таких как EPI, DWI и MRA. Это позволяет повысить пропускную способность кабинета и уменьшить время пребывания пациента в тоннеле.
4. IP-RAPID — интеллектуальная реконструкция изображений: Технология IP-RAPID сочетает принципы параллельной съёмки и сжатого преобразования (compressed sensing), что позволяет уменьшить время сканирования до 50 % при сохранении пространственного разрешения. Fujifilm ECHELON Smart использует итеративную реконструкцию и встроенные карты чувствительности катушек, минимизируя артефакты и шум, обеспечивая чистые и детализированные изображения даже при высоком ускорении.
5. На 17 % меньше эксплуатационных расходов: Аппарат МРТ обладает энергоэффективным криогенным контуром с нулевым расходом гелия и интеллектуальным режимом SmartECO, который автоматически снижает потребление энергии в периоды простоя. Это позволяет уменьшить эксплуатационные расходы до 17 % по сравнению с аналогичными системами. Эффективное охлаждение и сниженное тепловыделение также уменьшают нагрузку на климатические системы и повышают надёжность работы оборудования.
6. RADAR — подавление артефактов движения: Метод RADAR (Rotating Acquisition Data for Reduction of Motion Artifacts) в аппарате МРТ обеспечивает радиальное заполнение k-пространства, что делает изображение устойчивым к движениям пациента, дыханию или пульсации сосудов. Технология успешно применяется при нейровизуализации, ангиографии и исследованиях органов брюшной полости, улучшая контрастность и снижая необходимость повторных сканов. Совместное использование RADAR с SmartCOMFORT обеспечивает одновременное подавление шумов и артефактов движения.
7. SmartSPACE — компактность и гибкость установки: ECHELON Smart спроектирован с учётом требований клиник, ограниченных по площади. Увеличенная длина соединительных кабелей между гентри и техническим блоком обеспечивает гибкость при проектировании помещений. Компактный магнит и облегчённая криогенная система упрощают монтаж, снижая затраты на строительство и инфраструктуру.
8. Sentinel Analytics — предиктивное обслуживание: Система Sentinel Analytics использует облачную аналитику и машинное обучение для мониторинга состояния аппарата в режиме 24/7. Анализ вибраций, температур и логов позволяет выявлять потенциальные неисправности до их возникновения. Автоматическая передача данных сервисной службе Fujifilm обеспечивает минимальные простои и предсказуемое обслуживание без вмешательства оператора.
Пять причин купить аппарат МРТ Fujifilm ECHELON Smart
-
Сбалансированная архитектура производительности: Мощные градиенты (33 мТл/м, 130 Тл/м/с), 16-канальный приёмный тракт и 18 кВт выходной РЧ-модуль обеспечивают высокое пространственное разрешение при минимальном времени съёмки.
-
Интеллектуальная автоматизация: Функции AutoPose и Parameter Guidance сокращают время позиционирования и настройки параметров, упрощая работу оператора и снижая риск ошибок.
-
Комфорт пациента и бесшумная работа: SmartCOMFORT и оптимизированная конструкция магнита уменьшают акустический шум почти на 94 %, создавая спокойную атмосферу даже при высокопольных исследованиях.
-
Экономичность и экологичность: Энергосберегающий режим SmartECO, нулевая утечка гелия и низкое энергопотребление обеспечивают экономию до 17 % эксплуатационных расходов.
-
Высокая надёжность и сервисная поддержка: Технология Sentinel Analytics с удалённым мониторингом и самодиагностикой гарантирует высокий коэффициент готовности системы и снижение риска внеплановых простоев.
Fujifilm ECHELON Smart — это не просто 1,5-Тл аппарат МРТ, а технологически выверенная платформа, где каждая подсистема служит одной цели — обеспечить врачу точные данные в минимальные сроки и с максимальным комфортом для пациента.
Совмещение инженерной точности, интеллектуальных алгоритмов реконструкции и экономичного энергопотребления делает МРТ ECHELON Smart оптимальным выбором для медицинских центров, стремящихся сочетать высокое качество диагностики с рациональными затратами. Благодаря надёжной архитектуре, интеллектуальному обслуживанию и эргономичному интерфейсу, система уверенно занимает место среди самых сбалансированных решений в сегменте высокопольных МРТ 1,5 Тесла.





















