8-800-101-75-69
Аппарат МРТ
Philips MR 5300
Повысьте продуктивность процесса МРТ. Быстро. Легко. Уверенно.
1.5 Тесла
хит продаж
под "ключ" за 3 мес
от 780 000 евро
Philips MR 5300 — это современный аппарат МРТ, разработанный для расширения диагностических возможностей, повышения комфорта пациента и эффективности работы. Эта система МРТ объединяет передовые технологии, такие как микроциркуляторное охлаждение BlueSeal, элементы управления на базе искусственного интеллекта и SmartWorkflow, для получения высококачественных результатов визуализации. Матрас ComfortPlus и катушки Breeze добавляют уровень удобства и точности, что делает его лучшим выбором для медицинских работников, ищущих надежные и эффективные решения для МРТ.
Особенности МРТ аппарата Philips MR 5300

Технология микроциркулярного охлаждения BlueSeal
Одной из выдающихся особенностей аппарата МРТ Philips MR 5300 является технология микроциркуляторного охлаждения BlueSeal. В отличие от традиционных систем МРТ, которым для охлаждения требуется большой объем жидкого гелия от 1500 литров, технология BlueSeal использует всего 7 литров, что существенно снижает эксплуатационные расходы. Герметичный магнит аппарата МРТ устраняет необходимость в пополнении гелия, что сводит к минимуму время простоя и обеспечивает непрерывную работу. Помимо прочего, BlueSeal увеличивает долговечность аппарата МРТ за счёт надежного поддержания оптимальной температуры магнита.

Управление с помощью искусственного интеллекта
Интеграция управления на основе ИИ в Philips MR 5300 представляет собой значительный шаг вперед в технологиях магнитно-резонансной томографии. Эта функция позволяет вносить корректировки в режиме реального времени во время сканирования, оптимизируя качество изображения и сокращая время сканирования. Алгоритмы ИИ анализируют данные по мере их сбора, внося точные исправления для повышения четкости изображения. Это не только повышает точность диагностики, но и оптимизирует рабочий процесс, позволяя рентгенологам сосредоточиться на интерпретации результатов, а не на управлении процессом сканирования.

Цифровая широкополосная архитектура dStream
dStream — это цифровая широкополосная архитектура от Philips, в которой оцифровка МР-сигнала происходит непосредственно в катушках. Это устраняет деградацию сигнала, позволяет минимизировать аналоговые помехи, расширить динамический диапазон системы и повысить отношение сигнал/шум на 40%. Благодаря цифровой передаче по оптоволокну и широкополосной обработке данных Philips MR 5300 гарантирует стабильные, воспроизводимые изображения с высоким разрешением при меньшем времени сканирования и меньшей чувствительности к артефактам.

Увеличение скорости сканирования до 3 раз
SmartSpeed представляет собой набор адаптивных алгоритмов ускоренной реконструкции, встроенных в Philips MR5300. Используя технологию Compressed SENSE в сочетании с глубоким машинным обучением, система прогнозирует оптимальные коэффициенты сжатия и восстанавливает недостающие k-пространственные данные без артефактов. Параллельная обработка в FPGA-модулях и GPU-ядрах обеспечивает реконструкцию на лету, сводя время сканирования обычных исследований к 2–3 минутам. SmartSpeed позволяет увеличить пропускную способность аппарата МРТ до 3-ех раз без потери качества.

Технологии SmartWorkflow для эффективной работы
Philips HealhCare оснастила MR 5300 технологиями SmartWorkflow, чтобы обеспечить плавный и эффективный процесс сканирования. Аппарат МРТ автоматизируют рутинные задачи, сокращая ручное вмешательство и повышая общую производительность. Например, Philips MR 5300 автоматически позиционирует пациента и устанавливает соответствующие параметры сканирования, сокращая время, необходимое для подготовки пациента. Это приводит к более быстрому выполнению процедуры, что особенно полезно в условиях большого объема, где время имеет решающее значение.

Полный порядок и отсутствие контакта с кожей
Комфорт пациента является важным аспектом любой процедуры МРТ, и Philips решила эту проблему с помощью матраса ComfortPlus MR 5300 и катушек Breeze. Матрас разработан с U-образными выемками вдоль боковой стороны, создавая непрерывный канал, который отделяет кабели катушек от кожи пациентов. Кроме того, катушки Breeze позволяют легко позиционировать пациента, что упрощает достижение желаемых углов визуализации без возникновения дискомфорта. Такая конструкция также снижает необходимость в изменении положения во время сканирования, что еще больше сокращает общее время процедуры.

Ультралегкие катушки и коннекторы Breeze
В сочетании с SmartWorkflow катушки Breeze на МРТ аппарате Philips MR 5300 позволяют быстро подключать и подготавливать пациента. Эти гибкие и эргономичные катушки легче на 75%, что обеспечивает быструю настройку и минимальное беспокойство пациента. Этот оптимизированный процесс не только повышает комфорт пациента, но и повышает эффективность, позволяя выполнять на 30% больше сканирований в течение заданного периода времени. Простота использования, обеспечиваемая катушками Breeze, особенно ценна в загруженных клинических условиях, где каждая секунда на счету.

Расшифровка изображений до 50 % быстрее
Скорость является решающим фактором в диагностике МРТ, и Philips MR 5300 обеспечивает это с помощью технологии Compressed SENSE. Эта функция ускоряет процесс сканирования до 50%, не снижая качество изображения. Благодаря реконструкции изображений из меньшего количества точек данных Compressed SENSE сокращает время, которое пациенты проводят в сканере, что особенно выгодно для тех, кто может испытывать дискомфорт или беспокойство во время процедуры. Эта технология не только повышает пропускную способность пациентов, но и улучшает общее впечатление пациента от посещения клиники.
Почему стоит купить аппарат МРТ Philips MR 5300
Самая низкая стоимость владения
Инновационная технология BlueSeal в аппарате МРТ не требует дорогостоящей заправки гелием, что существенно снижает общую стоимость владения в сравнении с системами других производителей
Высокая пропускная способность
Технологии SmartWorkflow и Compressed SENSE позволяют быстрее подготавливать и сканировать пациентов, сокращая время, необходимое для МРТ исследования вплоть до 50%
Акцент на комфорте пациента
Такие особенности, как Ambient Experience и ComfortTone значительно снижают стресс пациента при выполнении сканирования, что прямо сказывается на репутации и отзывах клиники
Расширенный спектр услуг
Обилие различных технологий и клинических приложений позволяет медучреждению обслуживать более широкий круг пациентов, увеличивая как количество клиентов, так и средний чек
Минимизация простоя
Надежная конструкция аппарата МРТ, Нидерландская сборка и превентивное техобслуживание гарантируют полное отсутствие дорогостоящих поломок или непредвиденных простоев
Инвестирование в технологии
Предлагая более быструю, удобную и точную визуализацию, вы привлечете ценных пациентов и сможете зарекомендовать себя как современное высокотехнологичное медучреждение
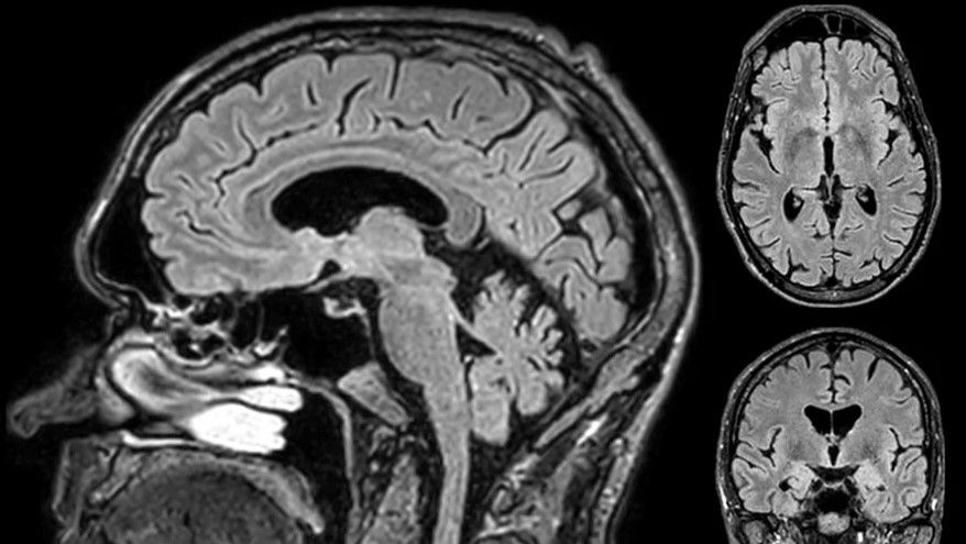
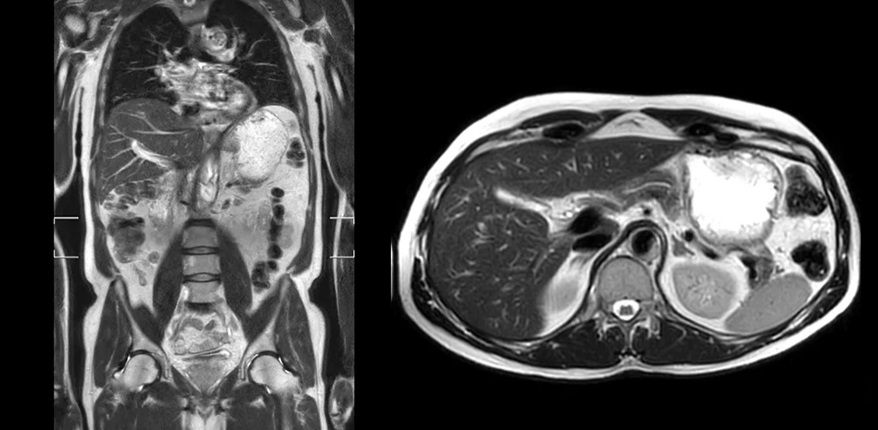
Клинические изображения аппарата МРТ Philips MR 5300
Смотрят также
Описание аппарата МРТ Philips MR 5300
В постоянно развивающемся ландшафте медицинских технологий аппараты МРТ продолжают играть ключевую роль в диагностической визуализации. Philips MR 5300 является свидетельством значительных достижений, достигнутых в этой области. Поскольку медицинская визуализация требует большей точности, скорости и ухода, ориентированного на пациента, MR 5300 предлагает инновации, которые отвечают этим потребностям. Сосредоточившись на сочетании технологического совершенства с простотой использования, Philips разработала аппарат МРТ, который не только соответствует, но и превосходит ожидания рентгенологов и пациентов.
Philips MR 5300 — это усовершенствованный аппарат МРТ, призванный переопределить стандарты медицинской визуализации. Он объединяет передовые технологии для обеспечения исключительного качества изображений, оптимизируя рабочий процесс и повышая комфорт пациента. Аппарат МРТ оснащен уникальным магнитом BlueSeal, передовыми решениями на основе искусственного интеллекта и набором технологий SmartWorkflow, которые делают его лучшим выбором для медицинских учреждений, стремящихся повысить точность диагностики и эффективность работы.
Ключевые преимущества и технологические решения аппарата МРТ Philips MR 5300:
Технология микроциркуляторного охлаждения BlueSeal: В основе Philips MR 5300 лежит технология микроциркуляторного охлаждения BlueSeal. Этот инновационный подход к охлаждению магнита использует полностью герметичную систему, которой требуется лишь небольшое количество жидкого гелия (~ 7 литров), что устраняет необходимость в регулярной заправке. В отличие от традиционных систем МРТ, которые зависят от больших объемов жидкого гелия (от 1500 литров), технология BlueSeal значительно снижает эксплуатационные расходы. Кроме того, герметичность системы обеспечивает постоянное охлаждение, что приводит к более надежной работе и меньшим требованиям к обслуживанию. Эта технология не только увеличивает долговечность аппарата МРТ, но и гарантирует, что система будет оставаться работоспособной без риска истощения гелия, что может привести к непредвиденным простоям.
Катушки Breeze для повышения комфорта и эффективности пациента: Комфорт пациента является первостепенной задачей во время процедур МРТ, и Philips MR 5300 решает эту проблему с помощью катушек Breeze. Эти катушки легкие, гибкие и эргономично спроектированы для соответствия телу пациента, что снижает необходимость в изменении положения во время сканирования. Катушки Breeze также проще устанавливать и снимать, что позволяет быстрее подготовить пациента и перейти между сканированиями. В сочетании с технологиями SmartWorkflow катушки Breeze значительно сокращают общее время, затрачиваемое на каждого пациента, повышая производительность в загруженных клинических условиях. Усовершенствованная конструкция этих катушек гарантирует, что они не ухудшают качество изображения, обеспечивая четкие и подробные изображения, которые помогают поставить точный диагноз.
Решения SmartWorkflow для оптимизированных операций: Эффективность процедур МРТ имеет решающее значение, особенно в условиях большого объема медицинских учреждений. Philips MR 5300 включает решения SmartWorkflow, которые автоматизируют многие рутинные задачи, связанные со сканированием МРТ. Эти решения включают в себя автоматизированное позиционирование пациента, интеллектуальный выбор протокола и адаптивное сканирование в реальном времени. SmartWorkflow снижает необходимость ручного вмешательства, освобождая рентгенологов для сосредоточения на более сложных аспектах ухода за пациентами. Оптимизируя операции, эти технологии аппарата МРТ помогают сократить время сканирования, минимизировать ошибки и повысить общую производительность отделения ренгенодиагностики.
Подавление акустического шума ComforTone: Сканирование МРТ часто сопровождается громкими, раздражающими шумами, которые могут вызывать дискомфорт и беспокойство у пациентов. Philips MR 5300 решает эту проблему с помощью технологии подавления акустического шума ComforTone. Аппарат МРТ при помощи данной технологии снижает шум, возникающий во время сканирования, делая процесс более приятным для пациентов. Эта функция особенно полезна для детей, пожилых людей и тех, кто может страдать клаустрофобией или тревожностью. Создавая более тихую среду сканирования, Philips MR 5300 помогает улучшить взаимодействие с пациентом, что может привести к улучшению качества изображений и более точной диагностике.
In-bore Connect для улучшенного взаимодействия с пациентом: Philips MR 5300 оснащен In-bore Connect, системой, разработанной для информирования и вовлечения пациентов во время сканирования. In-bore Connect обеспечивает обратную связь и руководство в режиме реального времени, помогая уменьшить беспокойство пациента и улучшить его общее восприятие. Аппарат МРТ может отображать успокаивающие визуальные эффекты или предоставлять инструкции, гарантируя, что пациенты знают, чего ожидать на протяжении всей процедуры. Эта функция особенно ценна для пациентов, которые могут нервничать или не знакомы с процедурами МРТ, поскольку она помогает снизить стресс и улучшить их взаимодействие во время сканирования.
mDIXON XD и MultiVane XD для высококачественной визуализации: Качество изображения имеет первостепенное значение в диагностике МРТ, и Philips MR 5300 преуспевает в этой области благодаря своим технологиям mDIXON XD и MultiVane XD. mDIXON XD — это передовая технология визуализации, которая обеспечивает высококачественное подавление жира, что необходимо для получения четких и точных изображений. Эта технология особенно полезна при визуализации опорно-двигательного аппарата, где критически важно различать различные типы тканей. MultiVane XD, с другой стороны, предназначен для уменьшения артефактов движения, которые могут размывать изображения и затруднять диагностику. Объединяя эти две технологии, аппарат МРТ Philips MR 5300 обеспечивает четкие, высококонтрастные изображения, которые необходимы для точной диагностической интерпретации.
4D FreeBreathing для компенсации дыхательного движения: Традиционное сканирование МРТ может быть сложным для пациентов, которым трудно задерживать дыхание, например, с респираторными заболеваниями. Технология 4D FreeBreathing в Philips MR 5300 решает эту проблему, позволяя пациентам дышать естественно во время сканирования. Эта технология компенсирует дыхательное движение, гарантируя, что изображения остаются четкими и точными, даже когда пациент дышит. Технология 4D FreeBreathing особенно полезна для визуализации органов брюшной полости и грудной клетки, где дыхательные движения могут существенно повлиять на качество изображения.
Ambient Experience для комфорта пациента: Philips MR 5300 включает в себя Ambient Experience, функцию, предназначенную для создания успокаивающей среды для пациентов, проходящих МРТ-сканирование. Эта система использует динамическое освещение, звук и видео для создания успокаивающей атмосферы в кабинете МРТ, помогая снизить беспокойство пациента и улучшить его общее впечатление. Ambient Experience можно настроить в соответствии с предпочтениями каждого пациента, что позволяет им выбирать из множества тем и настроек. Этот персонализированный подход помогает сделать процедуру МРТ менее пугающей и более комфортной, особенно для пациентов, которые могут испытывать опасения по поводу сканирования.
Технология Compressed SENSE для более быстрого сканирования: Скорость является важным фактором в диагностике МРТ, и томограф Philips MR 5300 обладает технологией Compressed SENSE для ускорения процесса сканирования. Compressed SENSE позволяет быстрее получать данные без ущерба для качества изображения. Эта технология может сократить время сканирования до 50%, что позволяет исследовать больше пациентов за определенный промежуток времени. Более быстрое обследование также означает, что пациенты проводят меньше времени в аппарате МРТ, что может быть особенно полезно для тех, кто испытывает беспокойство или дискомфорт во время процедуры. Объединяя скорость с точностью, Philips MR 5300 повышает как пропускную способность клиники, так и эффективность диагностики.
VitalEye для мониторинга пациентов в реальном времени: Безопасность и мониторинг пациентов особенно важны во время исследования, и Philips MR 5300 оснащен технологией VitalEye для решения этой проблемы. Аппарат МРТ предоставляет мониторинг физиологических параметров пациента в реальном времени, таких как частота сердечных сокращений и дыхание. Эта технология гарантирует немедленное обнаружение любых изменений в состоянии пациента, что позволяет оперативно вмешаться при необходимости. VitalEye является неинвазивным и не требует прямого контакта с пациентом, что делает его удобным и эффективным решением для непрерывного мониторинга во время процедур МРТ.
IntelliSpace Portal для расширенной обработки и анализа изображений: Philips MR 5300 интегрирован с IntelliSpace Portal, мощной платформой обработки и анализа изображений, которая расширяет возможности системы МРТ. IntelliSpace Portal предоставляет расширенные инструменты для постобработки, включая 3D-визуализацию, количественный анализ и автоматизированную отчетность. Эта платформа позволяет рентгенологам извлекать больше информации из изображений МРТ, повышая точность диагностики и помогая в планировании лечения. Интеграция IntelliSpace Portal с MR 5300 оптимизирует рабочий процесс, позволяя быстрее и эффективнее интерпретировать изображения и составлять отчеты.
SmartExam для автоматизированного планирования обследований: SmartExam — это функция Philips MR 5300, которая автоматизирует процесс планирования обследований, упрощая и ускоряя настройку сканирования МРТ. SmartExam использует искусственный интеллект для анализа анатомии пациента и автоматического выбора подходящего протокола визуализации. Эта технология сокращает время, затрачиваемое на планирование обследований, сводит к минимуму риск человеческой ошибки и обеспечивает единообразные высококачественные результаты для разных пациентов и операторов. SmartExam особенно полезен в загруженных клинических условиях, где эффективность и точность имеют решающее значение.
MR SmartLink для удаленного мониторинга и поддержки системы: Philips MR 5300 включает MR SmartLink, систему удаленного мониторинга и поддержки, которая гарантирует, что аппарат МРТ всегда работает с максимальной производительностью. MR SmartLink обеспечивает диагностику и оповещения в реальном времени, что позволяет проводить профилактическое обслуживание и снижать вероятность непредвиденных простоев. Эта технология также обеспечивает удаленную поддержку инженеров Philips, которые могут устранять неполадки и решать проблемы без необходимости посещения на месте. MR SmartLink гарантирует, что MR 5300 остается надежным и работоспособным, обеспечивая бесперебойное обслуживание поставщиков медицинских услуг и пациентов.
Пять причин обратить внимание на аппарат МРТ Philips MR 5300 1,5T:
-
Клиническая универсальность: Philips MR 5300 подходит для широкого спектра клинических применений, включая нейровизуализацию, визуализацию скелетно-мышечной системы, сердечно-сосудистую визуализацию и визуализацию брюшной полости. Универсальные возможности делают аппарат МРТ комплексным решением для различных групп пациентов и диагностических сценариев.
-
Позитивный опыт пациентов: In-Bore Ambient Experience в сочетании с конструкцией широкого отверстия способствует созданию комфортной для пациента среды. Это особенно полезно для педиатрических пациентов и пациентов, страдающих клаустрофобией, поскольку повышает общее самочувствие и удовлетворенность пациентов.
-
Эффективный рабочий процесс: Сочетание в аппарате МРТ передовых технологий, таких как dStream, и улучшений на основе искусственного интеллекта оптимизирует рабочий процесс обработки изображений, сокращая время сканирования и увеличивая общую пропускную способность. Это особенно выгодно в загруженных медицинских центрах.
-
Высокое качество изображения: Магнит 1,5 Тесла, технологичная градиентная система и радиочастотная технология MultiTransmit в совокупности обеспечивают стабильные и высококачественные результаты визуализации. Эта надежность имеет решающее значение для точной диагностики и планирования лечения в различных клинических дисциплинах.
-
Готовность к будущему с возможностью обновления: Philips MR 5300 спроектирован с учетом масштабируемости, что позволяет обновлять программное и аппаратное обеспечение с учетом будущих технологических достижений. Это гарантирует, что ваши инвестиции в аппарат МРТ останутся актуальными и будут соответствовать меняющимся клиническим и исследовательским потребностям.
Аппарат МРТ Philips MR 5300 представляет собой значительный прогресс в области медицинской визуализации, сочетая в себе передовые технологии с подходом, ориентированным на пациента. Благодаря своим инновационным функциям, таким как микроциркуляторное охлаждение BlueSeal, катушки Breeze, решения SmartWorkflow и технология Compressed SENSE, MR 5300 устанавливает новый стандарт для систем МРТ. Эти технологии работают в гармонии, обеспечивая исключительное качество изображений, повышая эффективность работы и повышая комфорт пациентов. Интеграция передовых функций, таких как VitalEye, ScanWise Implant и IntelliSpace Portal, еще больше укрепляет позицию MR 5300 как ведущей системы МРТ в отрасли здравоохранения. Более того, ориентация MR 5300 на устойчивость, вовлечение пациентов и оптимизированные рабочие процессы гарантирует, что она соответствует меняющимся потребностям современных поставщиков медицинских услуг. Будь то в условиях многопрофильной больницы или специализированного диагностического центра, Philips MR 5300 предлагает непревзойденную производительность и надежность, что делает его бесценным активом для любого медицинского учреждения. Поскольку здравоохранение продолжает развиваться, Philips MR 5300 готов решать задачи завтрашнего дня, предоставляя врачам инструменты, необходимые для предоставления пациентам наивысшего уровня медицинской помощи.





















