8-800-101-75-69
МРТ аппарат
Siemens
MAGNETOM Free.Start
Разрушая преграды к высококачественной диагностике
0.55 Тесла
DryCool
новинка
цена по запросу
Siemens MAGNETOM Free.Start представляет собой революцию в технологии МРТ, объединяя передовые возможности визуализации с непревзойденной экономической эффективностью. Малогабаритная конструкция «включай и работай» минимизирует затраты на монтаж и время простоя, а такие функции, как технология High-V MRI и Deep Resolve Gain, оптимизируют производительность без необходимости дорогостоящих обновлений. Безгелиевая архитектура DryCool значительно сокращает расходы на электроэнергию и техническое обслуживание, обеспечивая долгосрочную экономию.
Особенности МРТ аппарата Siemens MAGNETOM Free.Start

Полностью оборудованный комплекс МРТ
для развертывания по принципу «включай и работай»
MAGNETOM Free.Start разработан как комплексное, готовое к использованию решение для МРТ, устраняющее сложность монтажа традиционных аппаратов МРТ. Его конфигурация «включай и работай» обеспечивает моментальную настройку, сводя к минимуму время простоя и позволяя медучреждениям быстро приступить к работе. Аппарат МРТ поставляется с предварительно настроенным программным обеспечением и оборудованием, требующим минимальных технических настроек и обучения персонала. Siemens MAGNETOM Free.Start значительно снижает первоначальные затраты на монтаж оборудования и эксплуатационные препятствия, гарантируя, что учреждения могут сосредоточиться на лечении пациентов.

Минимальная занимаемая площадь — максимальная гибкость размещения
Ограниченность пространства является критической проблемой для многих медицинских учреждений. MAGNETOM Free.Start решает эту проблему благодаря своей компактной конструкции, требуя значительно меньше места, чем традиционные системы МРТ. Благодаря своей минимальной требуемой площади всего 24 м² и весу менее 3,2 тонны MAGNETOM Free.Start может быть установлен в местах, где обычные системы МРТ недоступны. Несмотря на уменьшенный размер, томограф не идет на компромисс с качеством визуализации или функциональностью. Архитектура аппарата МРТ оптимизирована для максимального комфорта пациента, эргономики оператора и доступности, что обеспечивает бесперебойную интеграцию в различные клинические среды.

Новое портфолио похожих на одеяло РЧ-катушек
MAGNETOM Free.Start представляет революционный портфель РЧ-катушек, разработанных для комфорта пациента и повышения производительности визуализации. Эти катушки, похожие на одеяло, соответствуют телу пациента, обеспечивая превосходную адаптируемость к различным анатомическим особенностям, устраняя необходимость в жестком позиционировании. Это нововведение улучшает соответствие пациента, уменьшает артефакты движения и обеспечивает получение высококачественных изображений в широком спектре клинических приложений. Легкая и гибкая конструкция катушек упрощает работу медработникам, ускоряя процесс подготовки пациента и повышая эффективность рабочего процесса.

Простое и интуитивно понятное управление
MAGNETOM Free.Start разработан с учетом простоты и удобства использования, что делает передовые технологии МРТ доступными как для опытных рентгенологов, так и для учреждений с ограниченным опытом в области МРТ. Его удобный интерфейс оптимизирует весь рабочий процесс визуализации, от настройки пациента до получения и анализа изображений. Siemens MAGNETOM Free.Start использует интуитивно понятную навигацию и автоматизированные протоколы на основе искусственного интеллекта, которые направляют медработников на каждом этапе процесса сканирования, минимизируя кривую обучения и обеспечивая единообразные результаты для разных пользователей.

Технология High-V MRI с Deep Resolve Gain
Сердцем аппарата МРТ MAGNETOM Free.Start является технология High-V от Siemens, которая переопределяет качество изображений и точность диагностики. High-V MRI использует последние достижения в оптимизации магнитного поля для достижения результатов, сопоставимых с высокопольными системами МРТ, сохраняя при этом доступность и финансовую приемлемость для учреждений с различными потребностями. Ключевым компонентом этой технологии является Deep Resolve Gain, современный алгоритм реконструкции изображений, работающий на основе искусственного интеллекта. Deep Resolve Gain повышает четкость изображения и снижает уровень шума, обеспечивая более четкую визуализацию анатомических структур и патологических результатов.

Технология DryCool
MAGNETOM Free.Start включает в себя инновационную технологию DryCool компании Siemens, которая устраняет зависимость от жидкого гелия для работы магнита. Эта прорывная технология использует замкнутую систему охлаждения, которая поддерживает оптимальные рабочие температуры с минимальным использованием жидкого гелия (менее 1 литра). Технология DryCool снижает эксплуатационные расходы, устраняя потребление гелия и необходимость в периодическом пополнении или обслуживании, связанном с управлением криогеном. DryCool в Siemens MAGNETOM Free.Start также увеличивает время безотказной работы аппарата МРТ, поскольку риск простоя из-за нехватки или утечек гелия полностью сведен к минимуму.
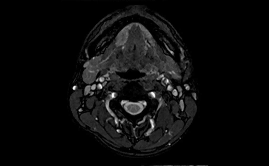
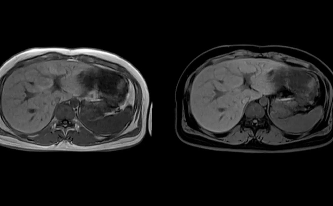
Клинические изображения Siemens MAGNETOM Free.Start
Повышение доступности и качества МРТ благодаря цифровым решениям
Смотрят также
Описание МРТ Siemens MAGNETOM Free.Start
Siemens MAGNETOM Free.Start представляет собой идеальный синтез передовой технологии визуализации, дизайна, ориентированного на пациента, и экономической эффективности. Он предлагает комплексное решение для медицинских учреждений, стремящихся предоставлять высококачественную диагностику, управляя пространством, бюджетом и воздействием на окружающую среду. Благодаря интуитивно понятному управлению, превосходной производительности визуализации и функциям устойчивости MAGNETOM Free.Start является передовым выбором для современных радиологических отделений и диагностических центров. Выбрав эту систему, учреждения могут удовлетворить текущие клинические потребности и обеспечить будущее своих возможностей визуализации в постоянно меняющемся ландшафте здравоохранения.
В этом документе представлен всесторонний обзор устройства, охватывающий его основные функции, преимущества и передовые технологии.
Введение
В эпоху, когда медицинские учреждения сталкиваются с растущими требованиями к передовой визуализации при ограниченном бюджете и ограниченном пространстве, Siemens MAGNETOM Free.Start становится революционным решением. Его конструкция ставит во главу угла экономическую эффективность, устойчивость и универсальность без ущерба для точности диагностики. Разработанная для простоты и совершенства, система подходит для разнообразных клинических применений, включая неврологическую, опорно-двигательную, абдоминальную и визуализацию всего тела.
Независимо от того, интегрирован ли он в крупную больницу или небольшое амбулаторное учреждение, MAGNETOM Free.Start выполняет обещание Siemens о точности, инновациях и уходе, ориентированном на пациента.
Основные характеристики и преимущества
Полностью оборудованный комплекс МРТ для развертывания по принципу «включай и работай»
MAGNETOM Free.Start — это готовое решение для МРТ, устраняющее сложности, связанные с традиционными установками. Он поставляется с предварительно настроенным оборудованием и программным обеспечением, что позволяет быстро настраивать и развертывать систему. Такой подход «включай и работай» сокращает время простоя, обычно необходимое для калибровки и обучения персонала, что позволяет учреждениям практически немедленно приступать к работе с изображениями.
Более того, оптимизированная интеграция обеспечивает совместимость с существующей ИТ-инфраструктурой, обеспечивая бесперебойный обмен данными и отчетность через PACS (системы архивации и передачи изображений) и RIS (радиологические информационные системы).
Минимальная занимаемая площадь — максимальная гибкость размещения
Ограничение пространства является распространенной проблемой в медицинских учреждениях. MAGNETOM Free.Start решает эту проблему с помощью компактной конструкции, которая требует меньше места, чем традиционные системы МРТ. Эта минимальная площадь основания обеспечивает гибкость размещения, позволяя устанавливать ее в нестандартных местах, таких как мобильные отделения или городские диагностические центры с ограниченной площадью.
Несмотря на свой уменьшенный размер, система сохраняет все основные функции, не гарантируя никаких компромиссов в отношении качества визуализации или комфорта пациента. Эта адаптивность позволяет поставщикам медицинских услуг расширять услуги МРТ в недостаточно обслуживаемых регионах, улучшая доступ к расширенной диагностике.
Новый ассортимент катушек RF-типа «одеяло»
Отличительной особенностью MAGNETOM Free.Start является его инновационный ассортимент катушек RF. Эти катушки, похожие на одеяла, приспосабливаются к телу пациента, повышая комфорт и уменьшая артефакты движения. Их гибкость и легкая конструкция оптимизируют процесс визуализации, обеспечивая высококачественное сканирование с минимальным изменением положения пациента.
Катушки, похожие на одеяла, также обеспечивают превосходное соотношение сигнал/шум (SNR), что обеспечивает более четкую визуализацию анатомических деталей. Такая конструкция особенно выгодна для детей и пожилых пациентов, которые могут испытывать дискомфорт при использовании жестких катушек.
Простое и интуитивно понятное управление
Удобство для пользователя лежит в основе MAGNETOM Free.Start. Его интуитивно понятный интерфейс упрощает сложные рабочие процессы визуализации, делая систему доступной для операторов с разным уровнем опыта. Такие функции, как интеллектуальные средства позиционирования, автоматическое обнаружение катушек и протоколы сканирования под управлением ИИ, снижают вероятность ошибок оператора и ускоряют пропускную способность пациентов.
Для учреждений, работающих с большим объемом пациентов, эта простота означает повышение эффективности и лучшее использование ресурсов. Кроме того, возможности автоматизации системы освобождают технологов, чтобы сосредоточиться на взаимодействии с пациентом и уходе за ним.
Технология МРТ High-V с усилением Deep Resolve
Технология МРТ High-V, используемая в MAGNETOM Free.Start, устанавливает новый стандарт качества визуализации. Благодаря оптимизации магнитного поля и использованию алгоритмов реконструкции на основе ИИ эта технология обеспечивает получение изображений с высоким разрешением, сопоставимых с изображениями, получаемыми с помощью систем МРТ с более высоким полем.
Усиление Deep Resolve, ключевой компонент этой технологии, повышает четкость изображения за счет снижения шума и повышения резкости деталей. Он поддерживает ускоренные протоколы сканирования, значительно сокращая время обследования без ущерба для точности диагностики. Эта возможность особенно полезна для учреждений с большим объемом пациентов, поскольку она повышает эффективность рабочего процесса, сохраняя при этом клиническую надежность.
Технология DryCool
Технология DryCool от Siemens обеспечивает устойчивую и экономичную работу, устраняя зависимость от жидкого гелия для охлаждения. Эта замкнутая система охлаждения снижает потребление энергии, минимизирует воздействие на окружающую среду и снижает требования к техническому обслуживанию.
Надежность системы дополнительно повышается за счет снижения потребности в пополнении гелия, что исключает потенциальные задержки, вызванные перебоями в поставках. Технология DryCool также соответствует растущему вниманию к инициативам в области зеленого здравоохранения, что делает MAGNETOM Free.Start экологически сознательным выбором для учреждений по всему миру.
Повышенный комфорт для пациента
Ощущение пациента является критически важным фактором в диагностике МРТ. MAGNETOM Free.Start решает эту проблему с помощью конструкции с широким отверстием, которая снижает клаустрофобию и подходит для пациентов более широкого диапазона размеров. В сочетании с радиочастотными катушками в виде одеяла и более коротким временем сканирования, обеспечиваемым Deep Resolve Gain, эти функции повышают общий комфорт и соответствие пациента.
Режим ECO для энергоэффективности
MAGNETOM Free.Start включает режим ECO, разработанный для минимизации потребления энергии в периоды простоя. Эта функция не только снижает эксплуатационные расходы, но и соответствует глобальным целям устойчивого развития. Автоматически регулируя энергопотребление системы в зависимости от спроса в реальном времени, режим ECO обеспечивает эффективную работу устройства без ущерба для готовности.
Клиническая универсальность
Широкий спектр приложений системы делает ее пригодной для диагностики сложных неврологических, опорно-двигательных, абдоминальных и сосудистых заболеваний. Поддерживаются расширенные протоколы визуализации, такие как диффузионно-взвешенная визуализация (DWI) и ангиография времени пролета, что расширяет клиническую полезность устройства.
Бесперебойное подключение и управление данными
В условиях все более цифровой среды здравоохранения MAGNETOM Free.Start предлагает надежные возможности подключения для бесперебойного обмена данными и их хранения. Совместимость со стандартами DICOM обеспечивает плавную интеграцию с системами PACS и RIS, способствуя эффективному управлению рабочим процессом и междисциплинарному сотрудничеству.
Удаленная поддержка и возможность модернизации
Чтобы максимизировать время безотказной работы и поддерживать пиковую производительность, Siemens обеспечивает удаленный мониторинг и поддержку MAGNETOM Free.Start. Эта проактивная модель обслуживания выявляет потенциальные проблемы до их обострения, обеспечивая бесперебойную работу. Кроме того, система разработана с учетом будущих обновлений, защищая инвестиции учреждения по мере развития технологий.
Экономическая эффективность
MAGNETOM Free.Start отличается исключительной экономической эффективностью, предлагая расширенные возможности визуализации за небольшую часть эксплуатационных расходов традиционных систем МРТ. Его компактная конструкция снижает расходы на строительство, а его конфигурация plug-and-play минимизирует время установки и сопутствующие расходы.
Технология DryCool, режим ECO и долгосрочная независимость от гелия значительно сокращают расходы на электроэнергию и техническое обслуживание. В сочетании со способностью системы эффективно обрабатывать большое количество пациентов эти функции обеспечивают быструю окупаемость инвестиций.

























