8-800-101-75-69
МРТ аппарат
Siemens
MAGNETOM Skyra
Уверенность в достижении цели
3.0 Тесла
экспертный
цена по запросу
MAGNETOM Skyra переопределяет то, чего может достичь аппарат МРТ 3 Tесла, устанавливая новый стандарт точности диагностики, ухода за пациентами и эффективности работы. Разработанная для медицинских специалистов, которым требуется больше, чем просто инструмент визуализации, Skyra преобразует опыт МРТ, обеспечивая захватывающую четкость изображений и повышая производительность до 50%. Будь то оптимизация ежедневных рабочих процессов или прорыв в научных исследованиях, MAGNETOM Skyra — это ваш путь к превосходным результатам и непревзойденной прибыльности.
Особенности МРТ аппарата Siemens MAGNETOM Skyra

Исключительное качество и скорость исследований
В основе MAGNETOM Skyra лежит революционная технология Tim 4G от Siemens, разработанная для обеспечения непревзойденного качества изображений и скорости диагностики. Благодаря наличию до 128 радиочастотных каналов и 204 элементов катушек Tim 4G обеспечивает бесшовное покрытие всего тела с высокой точностью. Усовершенствованная градиентная архитектура системы и методы параллельной визуализации, включая GRAPPA и Simultaneous Multi-Slice (SMS), ускоряют время сканирования, сохраняя при этом исключительную детализацию. Такое сочетание точности и скорости в аппарате МРТ позволяет рентгенологам уверенно обнаруживать едва заметные патологии, что повышает их способность обрабатывать большие объемы случаев без ущерба для качества. Будь то нейровизуализация, исследования опорно-двигательного аппарата или комплексные оценки всего тела, Tim 4G в Siemens MAGNETOM Skyra преобразует клинические задачи в оптимизированные результаты высокой четкости.

Подход Life Design
С MAGNETOM Skyra компания Siemens представляет свою философию Life Design — подход, ориентированный на пациента, который объединяет передовые технологии с дизайном, ориентированным на человека. Каждый аспект Skyra был разработан для улучшения как клинических рабочих процессов, так и опыта пациента. От интуитивно понятного пользовательского интерфейса до модульной системы катушек, подход Life Design оптимизирует операции, уделяя первостепенное внимание комфорту и безопасности пациента. Эта философия распространяется на энергоэффективность и оптимизацию пространства, гарантируя, что учреждения могут установить аппарат МРТ MAGNETOM Skyra без значительных изменений инфраструктуры. Компактные размеры и низкое энергопотребление демонстрируют приверженность Siemens принципам экономической устойчивости и практичности, что делает МРТ аппарат инвестицией не только в передовую диагностику, но и в будущее здравоохранения.

Эффективное получение стабильных результатов
Пакет DotGO является воплощением интеллектуального управления рабочим процессом МРТ. Объединяя автоматизацию с адаптивностью, DotGO позволяет рентгенологам стандартизировать исследования, адаптируя каждый протокол к конкретным потребностям пациента и клиническим показаниям. Регулировка параметров в реальном времени DotGO и расширенные инструменты планирования оптимизируют операции, снижая зависимость от оператора и вероятность ошибок. Результатом является рабочий процесс, который обеспечивает воспроизводимые высококачественные изображения, что позволяет врачам принимать обоснованные решения с уверенностью.

Расширение спектра услуг МРТ
MAGNETOM Skyra открывает новые горизонты в диагностической визуализации, предлагая расширенный портфель услуг МРТ, которые удовлетворяют разнообразные клинические и исследовательские потребности. Его усовершенствованный мощный магнит 3 Tесла в сочетании с современным оборудованием и программным обеспечением поддерживает широкий спектр приложений, включая неврологию, кардиологию, онкологию, визуализацию опорно-двигательного аппарата и педиатрию. От рутинного сканирования до передовой функциональной МРТ и спектроскопии, универсальность MAGNETOM Skyra позволяет медучреждениям решать практически любые диагностические задачи.

Максимальный комфорт для пациентов
Siemens MAGNETOM Skyra устанавливает новый стандарт комфорта для пациентов благодаря своей конструкции с открытым туннелем 70 см и сверхкороткой длине системы всего 173 см. Просторный туннель подходит для пациентов самых разных размеров и состояний, уменьшая ощущение ограничения и улучшая общее качество визуализации. Это особенно полезно для пациентов с клаустрофобией и детей, которым могут быть трудно использовать традиционные аппараты МРТ. Сверхкороткая длина дополнительно способствует комфорту, позволяя проводить многие процедуры с головой пациента вне системы. В сочетании с передовыми технологиями шумоподавления и опциями окружающего освещения Siemens, Skyra обеспечивает спокойную обстановку, способствуя сотрудничеству пациента и повышая показатели успешности сканирования.

Сокращение времени на подготовку пациентов
Эффективность в работе с пациентами является явным преимуществом МРТ аппарата MAGNETOM Skyra, достигаемым за счет интеллектуальной интеграции технологии SlideConnect и Tim Dockable Table. SlideConnect упрощает настройку катушки с помощью быстрого и надежного механизма соединения, устраняя задержки и обеспечивая точное выравнивание для каждого сканирования. Tim Dockable Table ещё больше сокращает время подготовки, улучшая доступность и комфорт для пациента. Разработанный для удовлетворения различных потребностей пациентов, включая пожилых и лиц с ограниченной подвижностью, стыкуемый стол позволяет легко переходить из зон подготовки в комнату сканирования. Это значительно сокращает время настройки и обеспечивает более плавные переходы рабочего процесса, максимизируя пропускную способность пациента при сохранении сострадательного ухода.
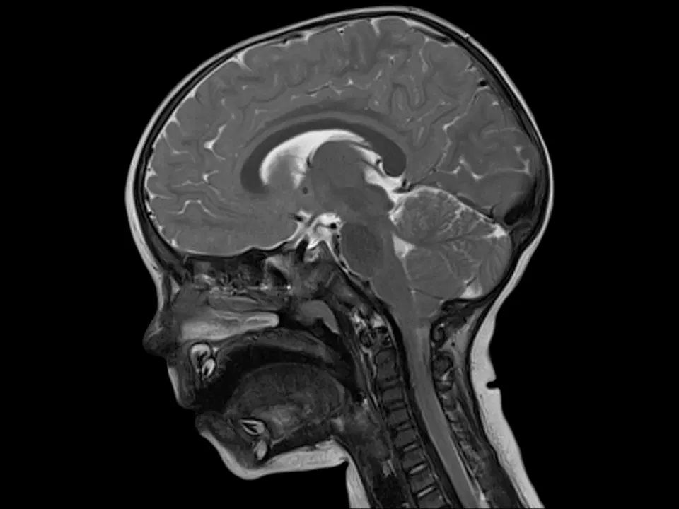
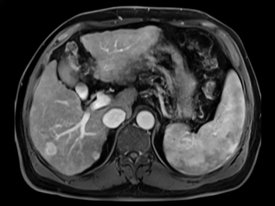
Клинические изображения Siemens MAGNETOM Skyra
Смотрят также
Описание МРТ Siemens MAGNETOM Skyra
Аппарат МРТ Siemens MAGNETOM Skyra — это технологическое чудо, призванное произвести революцию в области медицинской визуализации. Этот современный аппарат МРТ предлагает множество расширенных функций, которые по-новому определяют эффективность, точность и универсальность диагностических процедур, предлагая медицинским учреждением максимально экономически эффективное решение.
Ключевые технические особенности аппарата МРТ:
-
Высокая производительность в классе 3 Тл: благодаря инновационным достижениям Siemens MAGNETOM Skyra обеспечиваяет значительное увеличение производительности аппарата МРТ вплоть до 50%. Повышенная напряженность магнитного поля в 3 Тл также способствует превосходному разрешению и четкости изображения.
-
Технология Total Imaging Matrix (Tim): аппарат МРТ использует интегрированные катушки Tim, которые оптимизируют прием сигнала для улучшения качества изображения. Технология облегчает комплексное обследование, легко адаптируясь к различным клиническим потребностям.
-
Катушки SlideConnect и DirectConnect: в Siemens MAGNETOM Skyra реализованы упрощенные технологии бескабельного подключения, известные как SlideConnect и DirectConnect. Эта инновационная конструкция обеспечивает быстрое и эффективное подключение катушек, сокращая время установки и увеличивая пропускную способность.
-
Съемный стыковочный стол: благодаря съемному столу аппарат МРТ обеспечивает гибкость в позиционировании и позволяет легко перемещать пациентов и адаптироваться к ним. Эта функция упрощает рабочий процесс и обеспечивает комфорт во время исследований.
-
Сверхкороткий аппарат МРТ (173 см): Благодаря компактному дизайну Siemens MAGNETOM Skyra может похвастаться сверхкороткой длиной всего 173 см. Эта функция экономии места идеально подходит для медицинских учреждений с ограниченным пространством без ущерба для производительности или возможностей.
Клиническое применение:
Аппарат МРТ Siemens MAGNETOM Skyra подходит для широкого спектра клинических применений, что делает его универсальным решением для различных медицинских специальностей:
-
Неврология: получение детальной визуализации головного и спинного мозга, что помогает в диагностике и планировании лечения неврологических расстройств.
-
Ортопедия: визуализация скелетно-мышечной системы с высоким разрешением позволяет проводить ортопедические исследования, включая оценку суставов и мягких тканей.
-
МРТ брюшной полости: получение детальных изображений органов брюшной полости, что помогает в диагностике и мониторинге таких состояний, как заболевания печени, желудочно-кишечные расстройства и т. д.
-
Кардиология: Siemens MAGNETOM Skyra облегчает визуализацию сердца, предоставляя комплексный анализ заболеваний сердца, включая структурную и функциональную оценку.
-
Ангиография: Аппарат МРТ поддерживает приложения ангиографии, обеспечивая детальную визуализацию сосудов для диагностических и интервенционных целей.
-
Педиатрия: адаптированные протоколы визуализации обеспечивают безопасность и эффективность педиатрических обследований, что делает Siemens пригодным для широкого спектра педиатрических применений.
-
Онкология: MAGNETOM Skyra помогает обнаруживать и контролировать рак, предлагая высококачественную визуализацию для точной диагностики и планирования лечения.
Пять причин купить аппарат МРТ Siemens:
-
Исключительное качество изображения: MAGNETOM Skyra обеспечивает исключительное качество изображения, что позволяет ставить точный и уверенный диагноз.
-
Высокоскоростное МРТ-обследование (до 20 минут на одного пациента): Благодаря возможностям быстрой визуализации, компактным дизайном и высокой эргономике этот аппарат МРТ увеличивает пропускную способность пациентов, сокращая время обследования до 20 минут на одного пациента.
-
Расширенный спектр услуг МРТ для клиник: Универсальность Siemens MAGNETOM Skyra расширяет спектр услуг МРТ, предлагаемых медицинскими учреждениями, удовлетворяя разнообразный спектр клинических потребностей.
-
Высокая экономическая эффективность: Аппарат МРТ разработан с акцентом на экономическую эффективность, оптимизацию рабочего процесса и минимизацию эксплуатационных затрат с течением времени.
-
Надежный бренд Siemens Healthineers: Будучи продуктом Siemens, всемирно признанного и пользующегося доверием бренда в области медицинских технологий, MAGNETOM Skyra обеспечивает надежность, долговечность и постоянную поддержку.
В заключение отметим, что аппарат МРТ Siemens MAGNETOM Skyra находится на переднем крае технологий медицинской визуализации, органично сочетая инновации с функциональностью. Инвестируя в это передовое решение, медицинские учреждения могут расширить свои диагностические возможности, улучшить уход за пациентами и занять лидирующие позиции в постоянно развивающейся сфере современной медицины.



















