Отличия МРТ 1,5 Тесла и 3 Тесла
- vitaliy-cha1999
- 6 авг.
- 19 мин. чтения
Магнитно-резонансная томография (МРТ) прочно вошла в клиническую практику как один из ведущих неинвазивных методов визуализации, обеспечивая исключительную детализацию мягкотканевых структур без ионизирующего излучения. С каждым годом число проведённых МРТ исследований во всём мире стремительно увеличивается, расширяется спектр клинических задач, решаемых с помощью томографии, и возрастает требование к точности и чувствительности изображений. В этом контексте особую актуальность приобретает выбор мощности магнитного поля аппарата МРТ — параметра, напрямую влияющего на качество диагностики, продолжительность исследования и даже его безопасность.
На сегодняшний день в клинической практике наиболее широко используются томографы с напряжённостью магнитного поля 1,5 Тесла (Тл) и 3 Тесла. Однако, вопреки распространённому мнению, что "чем выше мощность, тем лучше", вопрос не так однозначен. Повышение напряжённости магнитного поля действительно даёт определённые преимущества — в первую очередь, в виде увеличения сигнала и разрешения — но вместе с этим появляются и новые физические, технические и клинические ограничения, которые необходимо учитывать при выборе аппарата МРТ.

Важно понимать, что 3 Тесла — это не "в два раза лучше", чем 1,5 Тесла. Более того, в некоторых сценариях высокопольный аппарат МРТ может не только не дать диагностических преимуществ, но и усложнить проведение исследования или снизить его воспроизводимость. Кроме того, эксплуатационные аспекты, такие как чувствительность к артефактам, тепловая нагрузка (SAR), стоимость обслуживания и требовательность к условиям помещения, становятся критически важными при принятии окончательного решения.
Таким образом, выбор между МРТ 1,5 Тесла и 3 Тесла — это не просто вопрос бюджета или "лучших характеристик", а комплексное решение, зависящее от специфики клинических задач, кадрового обеспечения, технических условий и стратегии развития медицинского учреждения. В данной статье мы детально рассмотрим ключевые отличия между аппаратами МРТ 1,5 Тесла и 3 Тесла, развенчаем распространённые мифы и предоставим читателю комплексное экспертное представление о том, какой томограф выбрать — и почему этот выбор далеко не так прост, как может показаться на первый взгляд.
Что означает мощность магнитного поля — 1,5 Тесла и 3 Тесла
В контексте магнитно-резонансной томографии напряжённость магнитного поля (часто называемая "мощностью МРТ") выражается в Теслах — единицах измерения магнитной индукции в Международной системе (СИ), названных в честь Никола Теслы. Один Тесла соответствует одному ньютону на ампер-метр и эквивалентен 10 000 гаусс (G), что позволяет легко сопоставить значения с более старыми измерительными шкалами.
Для сравнения, магнитное поле Земли составляет около 30–70 мкТл (0,00003–0,00007 Тл), а ручной магнит — примерно 0,01–0,1 Тесла. Таким образом, аппарат МРТ с напряжённостью 1,5 Тесла создаёт в десятки тысяч раз более мощное магнитное поле, чем природный фон.

В контексте МРТ магнитное поле играет ключевую роль в наведении продольной намагниченности ядер водорода (протонов) — основного источника сигнала в большинстве МРТ протоколов. Сила магнитного поля определяет степень упорядоченности ядерных спинов и, как следствие, влияет на интенсивность получаемого сигнала.
Почему именно 1,5 и 3 Тесла доминируют на рынке
История становления 1,5 Тесла как клинического стандарта восходит к началу 1980-х годов. Как вспоминает Пол Боттомли — один из пионеров МРТ и участник команды General Electric Corporate Research and Development (GE-CRD) в штате Нью-Йорк, — в 1980 году команда GE поставила перед собой цель получить сверхпроводящий магнит максимально возможной напряжённости для проведения спектроскопии всего тела. В рамках сотрудничества с Oxford Instruments был заключён контракт на создание магнита с целевым полем 2,0 Тесла, но с допущением минимального уровня не ниже 1,5 Тесла.
На тот момент в научной среде преобладало мнение, что МРТ невозможно реализовать на полях выше ~0,3 Тесла. Несмотря на это, в августе 1983 года на второй ежегодной конференции Общества магнитного резонанса в медицине (SMRM) в Сан-Франциско команда GE представила первые успешные изображения головы и тела, а также результаты спектроскопии, полученные на доставленном магнитe 1,5 Тесла. Позднее, в 1985 году, компания GE получила патент на аппараты МРТ с напряжённостью выше 0,7 Тл, что оказалось крайне выгодным в финансовом плане.
С середины 1980-х годов аппараты МРТ с напряжённостью 1,5 Тесла начали поступать в коммерческое использование, постепенно вытесняя низкопольные установки. Это объяснялось тем, что 1,5 Тесла обеспечивали оптимальный баланс между качеством изображения, скоростью исследования и технической надёжностью.
Параллельно велись попытки разработки более мощных систем — в частности, в конце 1980-х годов ведущие производители МРТ аппаратов исследовали возможности систем на 4 Тл. Однако ожидаемые преимущества не реализовались из-за аппаратных и методологических ограничений того времени, и проекты были приостановлены.
Следующий важный этап наступил в 1993 году, когда Университет Ноттингема убедил Oxford Instruments разработать магнит на 3 Тесла для демонстрации качества изображений, получаемых с помощью методики эхопланарной визуализации (EPI), разработанной в том же университете. Успех этой установки пробудил интерес к высокопольной МРТ, и уже в конце 1990-х — начале 2000-х годов первые коммерческие системы 3 Тл получили одобрение FDA.
К 2017 году, по оценкам, около 33% всех новых продаж аппаратов МРТ в мире приходилось на 3 Тесла, около 60% — на 1,5 Тесла, и лишь 6% — на установки ниже 1,5 Тесла. Согласно данным по Великобритании за 2020 год, примерно 17% существующего парка томографов составляли системы 3 Тесла. В условиях постоянного совершенствования программных и аппаратных решений, расширения клинических показаний и роста требований к диагностике, высокопольные системы продолжают наращивать свою долю, особенно в нейровизуализации, онкологии, а также в научных и исследовательских центрах.

На сегодняшний день аппараты МРТ с напряжённостью магнитного поля 1,5 Тесла и 3 Тесла прочно заняли лидирующие позиции в мировой практике благодаря уникальному сочетанию физических, клинических и эксплуатационных параметров. Несмотря на существование томографов как с более низким (0,2–1,0 Тесла), так и с более высоким полем (до 7 Тесла и выше), именно эти две мощности оказались наиболее универсальными и сбалансированными для большинства задач в клинической диагностике.
1,5 Тесла — золотой стандарт универсальности
Аппараты МРТ 1,5 Тесла стали своего рода «золотым стандартом» в МРТ благодаря оптимальному соотношению стоимости, производительности и совместимости. Они обеспечивают достаточное пространственное и контрастное разрешение для подавляющего большинства рутинных исследований: головы, позвоночника, органов брюшной полости, малого таза, суставов, мягких тканей и сосудов.
Среди преимуществ:
Высокая совместимость с современными МРТ-совместимыми имплантатами;
Приемлемая величина SAR, что даёт больше свободы в выборе протоколов;
Меньшие требования к экранировке и инфраструктуре (в сравнении с 3 Тесла);
Надёжность и хорошо отработанные протоколы, накопленные за десятилетия клинической практики.
1,5 Тесла — это компромисс между клинической универсальностью и доступностью: такие системы массово используются как в крупных госпиталях, так и в частных диагностических центрах.
3 Тесла — инструмент повышенной точности
Аппараты МРТ 3 Тесла были изначально ориентированы на научно-исследовательское и высокоспециализированное применение. Однако с начала 2000-х годов они активно вошли в клинический оборот, особенно в областях, где критична высокая чувствительность и точность. В первую очередь — это нейровизуализация, кардиология, онкология, оценка суставов мелкого калибра, диффузионная/перфузионная МРТ, а также функциональные исследования головного мозга (fMRI).
Повышенное соотношение сигнал/шум (SNR) при 3 Тл позволяет:
Улучшать пространственное разрешение;
Сокращать длительность исследования;
Выявлять более мелкие патологические очаги;
Проводить МР-спектроскопию с большей точностью;
Реализовывать сложные мультипараметрические протоколы.
Тем не менее, преимущества 3 Тесла требуют соответствующей технической базы, корректной настройки протоколов, соблюдения требований по безопасности (SAR, тепловая нагрузка) и адаптации к более выраженным артефактам.
Немаловажную роль в доминировании 1,5 и 3 Тесла играют также технологическая зрелость и инфраструктурная поддержка. Все крупные производители аппаратов МРТ — GE Healthcare, Siemens Healthineers, Philips и Fujifilm — имеют широчайшую линейку систем именно на этих двух уровнях поля, от бюджетных моделей до флагманских платформ. Это обеспечивает масштабируемость, унификацию сервисного обслуживания, стандартизацию протоколов и развитие международных баз данных на основе сопоставимых изображений.

Доминирование аппаратов МРТ 1,5 и 3 Тесла на рынке обусловлено не только историческим развитием технологий, но и объективными параметрами: оптимальный баланс между качеством визуализации, стоимостью, безопасностью, клинической гибкостью и инфраструктурной совместимостью. 1,5 Тесла остаётся универсальным решением для широкой клинической практики, в то время как 3 Тесла обеспечивает расширенные возможности в узкоспециализированных и высокоточных задачах. Остальные уровни напряжённости остаются нишевыми — либо как компромисс в условиях ограничений, либо как экспериментальный инструмент передовых научных исследований.
Физические принципы: как напряжённость поля влияет на сигналы и изображение
Магнитно-резонансная томография основана на принципе ядерного магнитного резонанса (ЯМР), в рамках которого водородные протоны, обладающие собственным спином и магнитным моментом, при помещении в постоянное внешнее магнитное поле выстраиваются в двух энергетических состояниях: параллельно и антипараллельно вектору магнитной индукции. Преобладание числа протонов в нижнем энергетическом состоянии создаёт избыточную намагниченность, которая и формирует измеримый МР-сигнал после радиочастотного возбуждения и релаксации.
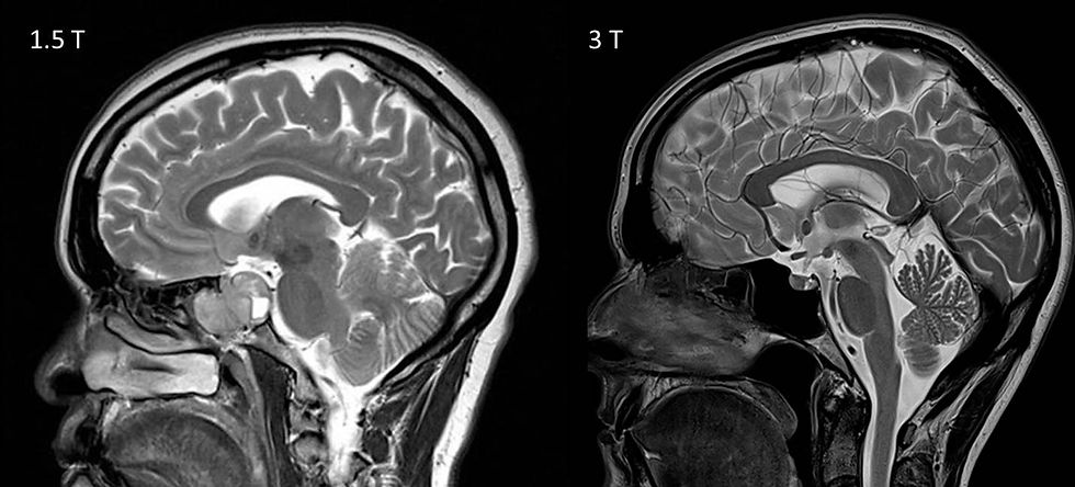
Степень поляризации ядер — ключевой фактор, определяющий амплитуду сигнала. Согласно уравнению Больцмана, избыточная намагниченность пропорциональна напряжённости магнитного поля B₀. Таким образом, при переходе от 1,5 Тесла к 3 Тесла наблюдается приблизительно линейный рост амплитуды сигнала, то есть сигнал возрастает в ~2 раза. Однако на практике улучшение соотношения сигнал/шум (SNR) оказывается нелинейным.
Соотношение сигнал/шум (SNR): рост и пределы
SNR — это один из фундаментальных параметров, определяющих качество МР-изображения. Теоретически, при увеличении B₀ с 1,5 до 3 Тесла, SNR увеличивается на 40–100%, в зависимости от исследуемой анатомической области, типа катушек, последовательности и пространственного разрешения. Наиболее выраженный прирост наблюдается в головном мозге, орбите, позвоночнике и крупных суставах.
Однако важно понимать, что SNR — это не конечная цель, а ресурс, который может быть направлен на:
Повышение пространственного разрешения (уменьшение вокселя без потери информативности);
Уменьшение времени сканирования при сохранении качества (через ускорение протоколов);
Повышение контрастности;
Уменьшение шума и артефактов при тех же параметрах.
Таким образом, выигрыш от 3 Тесла — это не «в два раза лучше», а «в два раза больше возможностей для компромисса» между качеством, скоростью и безопасностью. В реальной клинической практике, например, разрешение при 3 Тесла может быть увеличено на 20–30% при сохранении времени сканирования, либо, наоборот, исследование проводится быстрее на 30–50% при сохранении диагностического качества.
Радиочастотные ограничения и SAR
Одним из наиболее значимых физических ограничений высокопольной МРТ является увеличение удельной поглощённой мощности (SAR, Specific Absorption Rate), которая выражается в ваттах на килограмм (Вт/кг). SAR увеличивается квадратично с ростом B₀, а также зависит от частоты радиочастотного (RF) возбуждения. На частоте Лармора (42,6 МГц/Тл для водорода) при 3 Тесла возбуждающая частота составляет 127,8 МГц, против 63,9 МГц при 1,5 Тесла .
Вследствие этого:
В режиме 3 Тесла многие последовательности (особенно FSE/TSE, DWI и FLAIR) требуют увеличения интервалов между импульсами, что удлиняет общее время сканирования;
Часто применяется снижение flip angle (угла наклона возбуждающего импульса) или сокращение числа эхо-сигналов для соблюдения норм безопасности;
Некоторые последовательности могут быть полностью ограничены или выполняться с существенным ухудшением контраста.
Таким образом, теоретический прирост SNR при 3 Тесла может не реализоваться на практике из-за необходимости жёстких ограничений по мощности RF-нагрева, особенно у пациентов с высоким ИМТ или при сканировании областей с низким теплоотведением (например, голова, шея).
Неоднородность поля и радиочастотные артефакты
На высоких частотах радиоволны взаимодействуют с телом пациента иначе. Происходит неравномерное проникновение волн в ткани, особенно в область туловища. Это приводит к неоднородному распределению RF-поля (B1-inhomogeneity), что может вызывать:
Неравномерную яркость изображения;
Потерю сигнала в глубинных зонах;
Низкую воспроизводимость исследований.
Для компенсации этих эффектов применяются технологии мультиканального RF-передатчика (MultiTransmit, RF-shimming), однако они повышают стоимость системы и требуют продвинутой настройки.
Эффекты магнитной восприимчивости и градиентные ограничения
С увеличением напряжённости поля возрастает чувствительность к изменениям магнитной восприимчивости (susceptibility). Это проявляется в виде:
Искажений на границах воздух-кость (особенно в околоносовых синусах, основании черепа);
Артефактов рядом с металлическими объектами, включая зубные имплантаты, эндопротезы, хирургические клипсы;
Повышенной чувствительности к движению крови и ликвора, что может искажать результаты ангиографических и перфузионных исследований.
В ряде случаев подобные искажения снижают ценность изображения, особенно при использовании стандартных протоколов, не адаптированных под 3 Тл.
Таким образом, увеличение напряжённости магнитного поля с 1,5 до 3 Тл действительно даёт прирост SNR, расширяя потенциал пространственного разрешения и сокращая время сканирования. Однако этот прирост не является линейным и сопровождается серьёзными техническими и биофизическими ограничениями. Преимущества 3 Тл могут быть реализованы в полной мере только при наличии грамотной настройки протоколов, квалифицированного персонала и соответствующей инфраструктуры.
Клинические Преимущества МРТ 3 Тесла
На первый взгляд может показаться, что более мощный томограф автоматически означает лучшее качество исследований. Однако в клинической практике всё не столь однозначно. Да, аппараты МРТ с напряжённостью поля 3 Тесла обладают рядом значимых преимуществ перед 1,5 Тесла, но вместе с этим имеют и ряд ограничений. Ниже мы подробно рассмотрим, в каких ситуациях 3 Тесла действительно даёт клиническое преимущество, а когда 1,5 Тесла оказывается более предпочтительным выбором.
Преимущества 3 Тесла в нейровизуализации
Одной из ключевых областей, где 3 Тесла проявляет себя особенно эффективно, является нейровизуализация — то есть диагностика заболеваний головного и спинного мозга.
1. Повышенное пространственное разрешение
Благодаря удвоенному сигналу по сравнению с 1,5 Тесла, аппараты МРТ с напряжённостью поля 3 Тесла позволяют получать изображения с более высоким разрешением и детализацией. Это особенно важно при выявлении мелких патологий, таких как:
очаги рассеянного склероза,
мелкие метастазы,
участки ишемии на ранних стадиях,
опухоли гипофиза и эпилептогенные зоны.
2. Более высокая чувствительность к функциональным изменениям
В функциональной МРТ (fMRI) и спектроскопии 3 Тесла даёт более выраженный сигнал BOLD-эффекта, что улучшает картирование активных зон коры головного мозга.

Суставы, хрящи и сухожилия: более детальное изображение
В ортопедии и спортивной медицине 3 Тесла также показывает преимущество — прежде всего в исследованиях:
коленных и плечевых суставов,
мелких суставов кисти и стопы,
хрящевых структур,
менисков и сухожилий.
Из-за повышенного сигнала можно использовать более тонкие срезы и повысить контрастность изображений, что критично при диагностике микроразрывов или начальных дегенеративных изменений.

Орбиты, внутреннее ухо и черепные нервы
Визуализация мельчайших анатомических структур — ещё одна область, где аппараты 3 Тесла дают ощутимое преимущество. Особенно это актуально для диагностики:
воспалений зрительного нерва (невритов),
неврином слухового нерва,
структур среднего и внутреннего уха,
патологий глазных мышц и орбиты.
Специфичные протоколы для 3 Тесла
Несмотря на то, что большинство стандартных МРТ-исследований (голова, суставы, брюшная полость, позвоночник) успешно проводятся как на 1,5 Тесла, так и на 3 Тесла, существуют определённые типы исследований, в которых возможности 3 Тесла дают явное преимущество или даже являются необходимым условием. Это связано с более высоким сигналом на фоне шума (SNR), возможностью повышения пространственного или временного разрешения, а также улучшением контрастности тканей. Ниже приведены основные категории протоколов, которые раскрывают потенциал именно 3 Тесла.
1. Функциональная МРТ головного мозга (fMRI)
На сегодняшний день fMRI — один из наиболее наукоёмких и чувствительных методов нейровизуализации. Он регистрирует изменения кровотока в ответ на нейронную активность. Поскольку эти изменения очень тонкие, для получения достоверных и пространственно точных карт активации требуется максимальное соотношение сигнал/шум. Именно 3 Тесла обеспечивает достаточное качество сигнала, чтобы снимать карты активации мозга с разрешением до 1–2 мм и высокой временной точностью. fMRI при 1,5 Т ограничена по чувствительности и часто непригодна для точной локализации.

2. МР-спектроскопия (MRS)
Метод МР-спектроскопии позволяет не просто визуализировать структуру тканей, но и определять химический состав: концентрации метаболитов, таких как N-ацетиласпартат, холин, креатин и др. Однако сигналы этих веществ чрезвычайно слабы, особенно на фоне шумов и артефактов. Применение 3 Тесла значительно повышает качество спектров, улучшает разрешение между пиками и повышает достоверность количественной оценки. На 1,5 Тесла проведение спектроскопии возможно, но в ограниченном объёме и чаще в научных, чем в рутинных клинических целях.

3. Нейровизуализация мелких структур мозга
Структуры, такие как гиппокамп, черная субстанция, таламус, а также глубокие ядра мозга, трудно детализируются при стандартных условиях. 3 Тесла позволяет использовать тонкие срезы (1 мм и менее), что критически важно, например, при диагностике ранней болезни Альцгеймера, эпилепсии, рассеянного склероза, болезни Паркинсона или в планировании нейрохирургических вмешательств.
4. Исследования сосудов и ангиография без контраста
Повышенное SNR позволяет выполнять МР-ангиографию без контраста с более высоким разрешением, особенно в области головного мозга и шеи. Это важно для пациентов с противопоказаниями к гадолиниевым контрастам. На 3 Тесла можно чётко визуализировать мелкие артерии (например, внутримозговые сегменты средней мозговой артерии), что на 1,5 Т часто невозможно.

В каких клинических случаях 3 Тесла может уступать 1,5 Тесла
Несмотря на очевидные преимущества МРТ с напряжённостью магнитного поля 3 Тесла, такие как повышенное отношение сигнал/шум (SNR), улучшенное пространственное и временное разрешение, а также возможность применения сложных протоколов, существует ряд клинических сценариев, в которых аппараты 1,5 Тесла оказываются предпочтительнее или, как минимум, сопоставимы по эффективности. Это связано с фундаментальными физическими и техническими ограничениями высокопольных систем.
1. Повышенная чувствительность к артефактам
Одним из наиболее существенных факторов, ограничивающих применение 3 Тесла в определённых клинических задачах, является усиление артефактов, вызванных неоднородностями магнитного поля и погрешностями в радиочастотных импульсах. Наиболее выраженными оказываются следующие артефакты:
Артефакты на границах тканей с разной магнитной восприимчивостью (susceptibility artifacts), особенно выраженные в областях, где присутствуют воздух и кость, например, в височных долях мозга, около турецкого седла, орбит или в области основания черепа.
Химический сдвиг возрастает пропорционально напряжённости поля и может приводить к дезориентации сигнала в жировой и водной компонентах.
Резонансные неоднородности и нелинейность B1-поля затрудняют однородное возбуждение ткани, особенно при применении турбо- или мульти-эхо последовательностей.
Вследствие этого, МРТ головы и мозга вблизи костных структур основания черепа, МРТ внутреннего уха или орбит может не демонстрировать улучшения, а в ряде случаев даже уступать по диагностической точности аналогичным исследованиям на 1,5 Т.
2. Ограничения при кардиологических исследованиях
Кардиологическая МРТ на высокопольных системах требует особенно высокой точности синхронизации с дыханием и сердечным циклом. Однако 3 Тесла сопровождается рядом ограничений:
Увеличенная восприимчивость к артефактам движения, включая дыхательные и сердечные, особенно при нестабильном ритме или невозможности пациента выполнять дыхательные команды.
Увеличенная специфическая скорость поглощения энергии (SAR) ограничивает применение некоторых последовательностей, особенно TSE и SSFP, которые являются критически важными для оценки функции миокарда.
Проблемы с однородностью радиочастотного поля (B1 inhomogeneity) могут снижать однородность сигнала в области сердца, особенно у пациентов с большим индексом массы тела.

Исследования показывают, что в практической рутинной кардиологической визуализации (оценка фракции выброса, выявление ишемии, анализ жизнеспособности миокарда) аппараты 1,5 Тесла часто дают более стабильные и воспроизводимые результаты с меньшими техническими осложнениями.
3. Ограничения при МРТ молочных желёз
Хотя в теории 3 Тесла может обеспечить лучшую пространственную детализацию при исследовании молочной железы, на практике ситуация менее однозначна:
Молочная железа содержит обильное количество жировой ткани, и с увеличением напряжённости поля высокий химический сдвиг может вызывать артефакты на границе между жировой и железистой тканью, особенно при недостаточной коррекции импульсной последовательностью.
Снижение однородности поля в широкой зоне охвата, особенно при использовании неуниверсальных катушек.
Ограничения SAR могут ограничить применение высококонтрастных динамических последовательностей.
Таким образом, если не используется специализированная катушка и не оптимизированы параметры под конкретную клиническую задачу, то 1,5 Тесла может быть эквивалентным или даже более стабильным вариантом для рутинного скрининга или диагностики.
4. Пациенты с имплантами и медицинскими устройствами
На 3 Тесла повышается риск взаимодействия магнитного поля с имплантами и медицинскими устройствами:
Не все имплантаты сертифицированы для 3 Тесла, даже если они допустимы для 1,5 Тесла.
Индукция токов в металлических элементах может быть выше, увеличивая риск нагрева и смещения импланта.
Металлические артефакты сильнее выражены на 3 Тесла, особенно в области позвоночника, тазобедренных суставов, челюстей и в случае послеоперационного металлоостеосинтеза.
Следовательно, 1,5 Тесла остаётся предпочтительным выбором у пациентов с ортопедическими и кардиостимулирующими устройствами (при наличии соответствующего допуска), а также в онкологических центрах, где распространены реконструкции с металлическими имплантатами.

МРТ с напряжённостью поля 3 Тесла — мощный диагностический инструмент, способный предоставить клиницисту расширенную информацию с высокой точностью и детализацией. Однако его преимущества проявляются не универсально и не во всех клинических сценариях. Ряд состояний, таких как кардиологическая МРТ, исследования околоосевых структур мозга, пациентов с имплантами и динамические исследования в области груди, могут быть выполнены на 1,5 Тесла с не меньшей, а подчас — с большей надёжностью и воспроизводимостью.
Поэтому окончательный выбор между 1,5 и 3 Тесла должен быть основан не на номинальной "мощности", а на совокупности факторов: клинической задачи, анатомической области, оснащённости центра и компетентности персонала.
Влияние напряженности магнитного поля на опыт пациента
Современная практика МРТ неизбежно затрагивает не только технические аспекты визуализации, но и субъективный опыт пациента. Восприятие процедуры может существенно различаться в зависимости от характеристик томографа, в том числе от напряжённости магнитного поля. Пациенты, проходящие обследование на системах с разной мощностью (1,5 и 3 Тесла), могут сталкиваться с отличиями, которые не всегда очевидны на первый взгляд, но играют значимую роль как в комфорте, так и в результате диагностики.
Акустическая нагрузка и субъективный уровень шума
Одним из наиболее часто отмечаемых аспектов является уровень шума в ходе исследования. Хотя звуковое давление зависит не только от мощности магнита, но и от конкретной модели, конструкции градиентных катушек и типа последовательностей, в большинстве случаев аппараты 3 Тесла генерируют более интенсивные акустические сигналы. Это связано с более сильным магнитным взаимодействием градиентов при той же частоте переключения, а также с более высокой индукцией магнитного поля. Некоторые пациенты описывают звуки, как «более резкие и пронизывающие», что может вызывать стресс и беспокойство, особенно при длительных или многосрезовых сканированиях.
Типичные значения шума (в зависимости от модели и режима сканирования) при проведении стандартных протоколов составляют:
1,5 Тл: 90–100 дБ
3 Тл: 100–110 дБ
Использование шумоизоляции, современных шумоподавляющих последовательностей (например, Quiet Suite или Silent Scan), а также наушников с музыкой и берушей частично решает проблему, но не устраняет её полностью. Таким образом, для некоторых категорий пациентов, особенно чувствительных к звуковым раздражителям (дети, пациенты с тревожными расстройствами), опыт может быть менее комфортным именно на 3 Тесла.
Продолжительность исследования
Несмотря на то, что время сканирования на 3 Тесла потенциально может быть короче за счёт высокого SNR (отношения сигнал/шум), реальная продолжительность процедуры зачастую оказывается сопоставимой с 1,5 Тесла. Это объясняется тем, что дополнительный сигнал обычно "обменивается" на улучшение пространственного разрешения, а не на сокращение времени. С точки зрения пациента это может восприниматься как «долгое пребывание в аппарате», особенно если речь идёт о многопротокольном исследовании.
Дополнительно следует учитывать, что магниты 3 Тесла чаще ассоциируются с более "плотными" протоколами, в которых предусмотрены дополнительные последовательности (например, спектроскопия, DTI или fMRI), что также увеличивает время нахождения в томографе.
Физиологические ощущения
Пациенты, проходившие МРТ на 3 Тесла, в ряде случаев описывают необычные ощущения, включая металлический привкус во рту, фосфены (вспышки света при движении глаз) и лёгкое головокружение. Эти эффекты объясняются воздействием более сильного магнитного поля на ионные токи и вестибулярную систему. В аппаратах 1,5 Тесла такие явления наблюдаются значительно реже и, как правило, менее выражены.
Некоторые пациенты могут также ощущать нагрев кожи в зонах контакта с поверхностными катушками или подложками, особенно при использовании мощных градиентов. Хотя все системы сертифицированы по требованиям безопасности (SAR-контроль), субъективная чувствительность может варьироваться.
Эксплуатационные и экономические аспекты
Выбор между аппаратами МРТ с напряжённостью магнитного поля 1,5 и 3 Тесла влечёт за собой не только клинические, но и экономические последствия, которые включают в себя не только повышенные инфраструктурные требования каждого класса оборудования, но и дополнительные расходы на амортизацию и техническое обслуживание.
Энергопотребление и инфраструктура
Магнитно-резонансные томографы с напряжённостью поля 3 Тесла предъявляют более высокие требования к энергопитанию и инженерной инфраструктуре. Существенное отличие заключается в потребляемой мощности радиочастотных усилителей, системе охлаждения магнита, а также в необходимости обеспечения надёжного теплоотвода.
Если в случае 1,5 Тесла системы может быть достаточно стандартного промышленного электропитания и чиллера средней мощности, то для аппарата МРТ 3 Тесла часто требуется более сложная и энергоёмкая система охлаждения, а также специальные меры по подавлению электромагнитных помех. Кроме того, томографы с большей напряжённостью поля часто имеют больший вес и габариты, что требует усиленных полов, более широких дверных проёмов и лифтовой логистики при транспортировке.
Стоимость приобретения и владения
Стоимость покупки аппарата МРТ 3 Тесла в среднем выше на 50% по сравнению с аналогичной системой 1,5 Тесла того же производителя. Однако этот разрыв может существенно возрасти при учёте необходимых капитальных вложений в переоборудование помещений, инженерную инфраструктуру, системы ЭМС-защиты и охлаждения.
Также следует учитывать различие в стоимости сервисных контрактов. В связи с более высокой сложностью конструкции, наличием более мощных Gradient Subsystems и требовательностью к стабильности параметров, обслуживание 3 Тесла систем обходится дороже. При этом срок окупаемости может быть дольше, особенно если поток пациентов ограничен или если клиника работает преимущественно с рутинными протоколами, не требующими высокой напряжённости поля.
Протоколы сканирования и поток пациентов
Несмотря на более высокую скорость сканирования и повышенное отношение сигнал/шум, использование МРТ 3 Тесла не всегда приводит к увеличению пропускной способности. Высокая чувствительность к артефактам, увеличенные требования к подготовке пациента (например, необходимость минимизации движения или контроля дыхания), а также увеличенные времена релаксации могут удлинять отдельные протоколы. Это особенно актуально в условиях неспециализированных амбулаторий, где персонал может не иметь достаточно опыта для тонкой настройки специфических 3 Тесла протоколов.
В результате, аппараты МРТ 1,5 Тесла при правильной организации работы могут демонстрировать более стабильную загрузку и более предсказуемый поток пациентов.
Рынок и ликвидность оборудования
С экономической точки зрения, 1,5 Тесла томографы обладают более высокой ликвидностью на вторичном рынке. Это объясняется как более широким распространением, так и универсальностью применения. Для многих региональных центров или частных клиник с ограниченным бюджетом именно аппараты МРТ 1,5 Тесла является оптимальным балансом между стоимостью, качеством и техническими требованиями.
Системы 3 Тесла чаще приобретаются крупными диагностическими центрами, академическими учреждениями или в рамках инвестиционных проектов с фокусом на передовые исследования. Их реализация на вторичном рынке требует наличия подготовленной инфраструктуры у нового владельца, что значительно сужает потенциальный круг покупателей.
С точки зрения эксплуатационной и экономической эффективности выбор между 1,5 и 3 Тесла не может быть универсальным. Он должен основываться на сочетании клинических задач, уровня подготовки персонала, доступности инфраструктуры и финансовой модели учреждения. В условиях ограниченного бюджета и при ориентации на стандартные диагностические протоколы, МРТ аппарат 1,5 Тесла остаётся более рациональным выбором. Напротив, 3 Тесла может быть оправдана там, где требуется максимальное качество изображения, скорость, и есть возможности обеспечить соответствующий уровень технической поддержки и профессионального сопровождения.
Что выбрать между 3 тесла и 1,5 Тесла: чек-лист для владельца клиники
Выбор между аппаратами МРТ с напряжённостью магнитного поля 1,5 Тесла и 3 Тесла представляет собой стратегическое решение, которое должно учитывать не только клинические приоритеты, но и особенности локального рынка, доступность кадровых ресурсов, инфраструктуру, экономические реалии и долгосрочные цели учреждения.
Клинический профиль учреждения — ключевой ориентир
Первым и наиболее критичным параметром выбора является структура потока пациентов. Если учреждение ориентировано преимущественно на общую амбулаторную визуализацию (неврология, ортопедия, онкология, сосудистая патология), 1,5 Тесла представляет собой надёжную и универсальную платформу. В большинстве клинических сценариев, особенно при стандартных протоколах МРТ головного мозга, позвоночника и крупных суставов, 1,5 Тесла обеспечивает изображение, сопоставимое с 3 Тесла, но при меньших эксплуатационных издержках.
Однако при акценте на проведение высокоспециализированных исследований — таких как МРТ сосудов головного мозга без контраста, функциональная МРТ, МР-спектроскопия, молекулярная визуализация, прецизионная онкологическая диагностика и планирование нейрохирургических вмешательств — аппарат 3 Тесла становится предпочтительным решением. Высокий SNR, возможность тонкосрезовой аквизиции и расширенная палитра продвинутых протоколов делают его необходимым в клиниках, претендующих на статус референс-центров.
Инфраструктурные ограничения
С увеличением напряжённости магнитного поля возрастает потребность в точном инженерном расчёте и дополнительных расходах на экранирование, охлаждение, контроль RF-интерференций. МРТ 3 Тесла требует:
более совершенной системы климат-контроля;
точной стабилизации напряжения электросети;
защиты от вибраций и внешних магнитных полей.
Если инфраструктура помещения не допускает расширения, а капитальные инвестиции в адаптацию объекта невозможны, 1,5 Тесла остаётся разумным выбором.
Экономика жизненного цикла аппарата
Несмотря на то, что 3 Тесла потенциально позволяет повысить стоимость одного исследования, это не всегда конвертируется в окупаемость на практике. Более высокая стоимость оборудования, расходных материалов (особенно при работе с контрастными веществами), увеличенная нагрузка на ИТ-инфраструктуру и повышенные требования к сервисному обслуживанию могут нивелировать потенциальные преимущества, особенно при низкой загрузке.
Ключевым становится не только расчёт окупаемости, но и способность учреждения обеспечить достаточный объём потока пациентов, соответствующий уровню технологической сложности.
Подготовка персонала и внутренняя экспертиза
Аппарат МРТ 3 Тесла — не просто инструмент с более высоким разрешением, а полноценная платформа, требующая высокой квалификации рентгенологов, лаборантов и инженеров. Ошибки в выборе протоколов, допусках, настройке параметров градиентов или в интерпретации артефактов при работе на 3 Тесла могут привести к клинически значимым ошибкам. Если персонал клиники не имеет предварительного опыта работы с такими системами, потребуется дополнительное обучение.
Локальная конкуренция и маркетинговая стратегия
На насыщенном рынке наличие 3 Тесла может позиционировать клинику как учреждение премиального уровня. Однако в регионах с низкой осведомлённостью пациентов и отсутствием дифференциации медицинских услуг, инвестиции в 3 Тесла могут остаться неоценёнными. Важно оценить потенциал спроса на высокотехнологичные исследования и готовность пациентов (или страховых компаний) оплачивать услуги с повышенной себестоимостью.
Таблица сравнения МРТ 1,5 Тесла и 3 Тесла
Критерий | 1,5 Тесла | 3 Тесла | Комментарий эксперта |
Соотношение сигнал/шум (SNR) | Базовый уровень | ~2× выше | В среднем 2–2,3× выше при тех же параметрах сканирования |
Разрешающая способность | Достаточная для большинства задач | Выше, особенно в нейро- и сосудистых исследованиях | Позволяет выявлять мельчайшие очаги и проводить тонкослойные срезы |
Скорость сканирования | Нормальная | Выше (при прочих равных) | Можно сократить время или улучшить разрешение |
Чувствительность к артефактам от неоднородностей | Ниже | Выше | Особенно критично в области диафрагмы, сердца и лёгких |
Сила ЭДС и SAR-нагрузка | Ниже | Выше (~в 3 раза) | Требует ограничения длительности/энергии импульсов и тщательной настройки протоколов |
Совместимость с имплантами | Шире | Ограниченнее | Некоторые устройства запрещены к использованию при ≥3 Т |
МР-совместимость катетеров, кардиостимуляторов | Шире | Ограниченнее | Важно для онкопациентов, кардиологов, геронтологии |
Кардиологические исследования | Более стабильные, меньше артефактов от движения | Более чувствительные, но больше артефактов | Требуют настройки и опыта, особенно в cine и perfusion |
МРТ молочных желез | Достаточно эффективно | Даёт преимущество в диагностике микрокальцинатов и мелких очагов | Особенно важно при оценке DCIS и инвазивного рака |
Диффузионно-взвешенные изображения (DWI) | Умеренная чувствительность | Высокая чувствительность | Особенно ценно при инсультах, онкологии, мультифокальных поражениях |
Функциональные исследования мозга (fMRI, спектроскопия) | Ограничено | Высокая точность | Обязателен 3 Тесла для научных исследований и нейровизуализации |
Педиатрия | Универсальное решение | Повышенный риск перегрева, чувствительность к шуму | Требует соблюдения ограничений SAR и наличия специализированных катушек |
Онкология (вне мозга) | Подходит | Может давать артефакты от интерфейсов тканей | Преимущество только при грамотной настройке протоколов |
Комфорт пациента (шум, SAR, переносимость) | Выше | Ниже | 3 Тесла может вызывать ощущения тепла, акустический дискомфорт |
Требования к помещению и экранировке | Умеренные | Выше | 3 Тесла требует усиленной Фарадеевой клетки и магнитной защиты |
Техническое обслуживание | Дешевле и проще | Дороже, выше требования к инженерии | Стоимость владения существенно выше |
Стоимость аппарата (первичная закупка) | Ниже | На 30–80% выше | Разница зависит от комплектации, бренда и конфигурации |
Ресурс потребления жидкого гелия (при наличии) | Ниже | Выше | Особенно критично при использовании старых систем |
Окупаемость в условиях потока | Быстрая при стандартной диагностике | Быстрая только при высокой загруженности и сложных исследованиях | 3 Тесла — инвестиция в специализацию, а не в поток |
МРТ 1,5 Тесла остаётся универсальным решением, подходящим для большинства рутинных клинических задач, особенно если приоритетом являются надёжность, универсальность и экономическая эффективность. В то же время, 3 Тесла предоставляет существенное преимущество в диагностической точности при работе с мелкими структурами, сложными случаями, функциональной и онкологической визуализацией — но требует более квалифицированного персонала, лучшей технической подготовки и финансовых вложений.
Выбор должен опираться не только на “больше = лучше”, а на конкретные клинические задачи, бизнес-модель клиники и готовность к работе с высокотехнологичным оборудованием.


